کاشت دندان به روش ایمپلنت، به یکی از مطمئن ترین و پرطرفدارترین روش های جایگزینی دندان در سال های اخیر تبدیل شده است. روشی که اگر به درستی انجام شود، کاملا مانند دندان اصلی شما خواهد بود. کاشت یا ایمپلنت دندان در شهر کرمانشاه نیز توسط بسیاری از متخصصان و جراحان دندانپزشکی انجام می شود.
در اینجا شما می توانید فهرست کاملی از تمامی متخصصان ایمپلنت کرمانشاهی به همراه اطلاعات تکمیلی و نمونه کارها را ببینید. این اطلاعات به شما کمک می کند تا بتوانید با دید باز و شناخت کافی دندانپزشک مورد نظرتان را انتخاب کنید.
دكتر مهتا ويسى
متخصص ایمپلنت دیجیتال

- خدمات: ایمپلنت دیجیتال یک روزه، ترمیم، عصب کشی، زیبایی و…
- برنامه کاری: شنبهها تا چهارشنبهها از ساعت ۱۷ الی ۱۹:۳۰
- آدرس مطب: کرمانشاه، خيابان 17 شهريور نبش كوى 14 طبقه ششم واحد ۲۱
- لوکیشن مطب
- تلفن نوبت دهی: 09190961160
نمونه کار:

دکتر امیرحسین کرمی
متخصص ایمپلنت و زیبایی دندان

- خدمات: ایمپلنت، زیبایی، عصب کشی، ترمیم، کشیدن، روکش و جراحی لثه
- برنامه کاری: شنبه و دوشنبه: از ساعت ۱۸ الی ۱۹ – یکشنبه و سه شنبه: از ساعت ۱۵ تا ۱۹
- آدرس مطب: کرمانشاه, چهارراه گلستان، ساختمان پویا، طبقه هفتم، واحد 5
- لوکیشن مطب
- تلفن نوبت دهی: 09186805173
نمونه کارها:

دکتر فاطمه جلیلیان

- خدمات: ایمپلنت، ترمیم، کشیدن، لمینت، جرم گیری
- طرف قرارداد اکثر بیمه ها: نیروهای مسلح و…
- امکان پرداخت اقساطی: دارد
- برنامه کاری: از شنبه تا پنجشنبه ساعت ۹ صبح الی ۸ شب
- آدرس مطب: کرمانشاه، بلوار امامی، نرسیده به کوچه شهید بهرامی
- لوکیشن مطب
- تلفن نوبت دهی: 08338220721
نمونه کارها:

دکتر دانیال قشقایی
جراح و متخصص دندانپزشکی، ارتودنسی و ایمپلنت

- خدمات: ایمپلنت، ارتودنسی، ترمیم، زیبایی
- امکان پرداخت به صورت اقساط: دارد
- طرف قرارداد با بیمه ها و بانک ها شامل: ایران، نیروهای مسلح، تجارت نو، بانک کشاورزی، بانک صادرات، بیمه کوثر، بانک سپه، بانک ملی و بانک تجارت
- برنامه کاری مطب: همه روزه بجز جمعه ها از ساعت ۱۱ تا ۱۸
- لوکیشن مطب
- تلفن نوبت دهی: 09333203936
نمونه کار:

دکتر گلاره همتی
جراح و متخصص دندانپزشکی – مدرک ایمپلنت از فرانسه – کودکان، اطفال و بزرگسال

- خدمات: ایمپلنت، طراحی و اصلاح لبخند، کامپوزیت، درمان ریشه دندان، جرم گیری، عصب کشی، ونیر، لمینت و کشیدن
- برنامه کاری: شنبه تا پنجشنبه از ساعت ۹ الی ۱۳
- آدرس مطب: کرمانشاه، پارکینگ شهرداری، جنب درمانگاه امام رضا، ساختمان شفا، طبقه ۱
- لوکیشن مطب
- تلفن نوبت دهی: 08337222655
نمونه کار:


دکتر بهاره منصوری
متخصص دندانپزشکی و ایمپلنت

- خدمات: ایمپلنت، کامپوزیت، ترمیم، جرم گیری، عصب کشی، کشیدن، لمینت و اندو
- برنامه کاری: شنبهها تا چهارشنبهها از ساعت ۹ الی ۲۰
- آدرس مطب: کرمانشاه، چهارراه نوبهار، برج نوبهار
- لوکیشن مطب
- تلفن نوبت دهی: 09351811212
نمونه کار:

دکتر روزبه تیزوال
جراح و متخصص دندانپزشکی

- خدمات: ايمپلنت، ايمپلنت ديجيتال بدون برش و بخيه، جراحي پيوند استخوان و لثه، اصلاح خط لبخند و بليچينگ دندان
- برنامه کاری مطب: شنبه تا چهارشنبه از ساعت ۱۰ الی ۲۰ – پنجشنبه ساعت ۱۰ الی ۱۳
- آدرس: کرمانشاه، نوبهار، جنب مبلمان کانزا ، ساختمان پارت، طبقه ۵
- لوکیشن مطب
- تلفن نوبت دهی: 08338386590
نمونه کار:

دکتر امیرحسین دوگوهر
- ارائه خدمات درمانی، زیبایی، ایمپلنت، ترمیم دندان و…
- کودکان و بزرگسالان

- برنامه کاری: یکشنبهها ساعت 9 الی 14 – سه شنبهها ساعت 15 الی 20 – پنجشنبهها ساعت 15 الی 20
- آدرس مطب: کرمانشاه، سی متری دوم، بالاتر از کوچه شهید صانعی
- لوکیشن مطب
- تلفن نوبت دهی: 08334261129
- نمونه کار:

دکتر ثریا وکیلی
انجام تمامی خدمات دندانپزشکی زیبایی و درمانی
دندانپزشک بزرگسالان و کودکان

- برنامه کاری: همه روزه بجز روزهای جمعه از ساعت ۱۶ الی ۲۲ شب
- آدرس: کرمانشاه، بلوار سی متری دوم، بین بلوار وحدت و نوبهار
- لوکبشن مطب
- تلفن نوبت دهی: 09185527490
- نمونه کار:

دکتر فرید سلیمانی
جراح ایمپلنت – فارغالتحصیل دانشگاه علوم پزشکی شیراز

- برنامه کاری مطب: همه روزه بجز جمعهها از ساعت ۱۶ الی ۲۱
- آدرس: کرمانشاه، دبیراعظم، جنب بانک ملت، ساختمان کوثر، طبقه اول
- لوکیشن مطب
- تلفن نوبت دهی: 09186766637
نمونه کار:

دکتر سمیه امیرخانی
جراح و متخصص دندانپزشکی – کودکان، اطفال و بزرگسال
- خدمات: ایمپلنت، پروفیلاکسی، عصب کشی، اصلاح لبخند، ترمیم دندان، کشیدن و جرم گیری
- آدرس: کرمانشاه، خیابان شریعتی، دانشکده دندانپزشکی
- لوکیشن
- شماره تماس نوبت دهی: 08337229073
دکتر امیر رجایی
جراح و دندانپزشک – کودکان و اطفال

- خدمات: ایمپلنت، ارتودنسی، پیوند استخوان، کامپوزیت، لمینت، عصب کشی، بیومیمتیک
- برنامه کاری: اعلام نشده
- آدرس مطب: کرمانشاه، خیابان نوبهار، نبش کوچه ۱۲۷
- لوکیشن مطب
- شماره تلفن نوبت دهی: 38213556
نمونه کار:

دکتر محمدرضا فرهنگیان
جراح و دندانپزشک

- خدمات: ایمپلنت، اصلاح لبخند، ترمیم دندان، عصب کشی، درمان ریشه، کامپوزیت و…
- برنامه کاری: شنبه تا پنجشنبه از ساعت ۱۶ الی ۲۰:۳۰
- آدرس: كرمانشاه، مسکن، بعد از چهارراه مطهری، طبقه فوقانی موسسه اعتباری ملل
- لوکیشن مطب
- شماره تماس نوبت دهی: 34210882
نمونه کار:

دکتر امیر پرواز
جراح و متخصص دندانپزشکی

- خدمات: ایمپلنت، عصب کشی، جراحی، ترمیم ریشه و دندان، کامپوزیت، ونیر، لمینت و کشیدن دندان
- برنامه کاری: دوشنبه، سهشنبهچهارشنبه و پنجشنبه از ساعت ۹ الی ۲۰
- آدرس مطب: کرمانشاه، فرهنگیان فاز ۲، بلوار موسی کلانتری، میدان کوثر
- لوکیشن
- تلفن نوبت دهی: 08334210151
نمونه کار:

دکتر فاطمه نیازی
جراح و دندانپزشک اطفال

- خدمات: ایمپلنت، عصب کشی، درمان ریشه، ترمیم، اصلاح لبخند، پروتز
- برنامه کاری: اعلام نشده
- آدرس مطب: کرمانشاه، مسکن، جنب داروخانه دکتر فرجاد، ساختمان آریانا، طبقه اول، واحد ۱
- لوکیشن مطب
- تلفن نوبت دهی: 09359551512
نمونه کار:

دکتر حسین داوری نژاد
جراح و متخصص دندانپزشکی

- خدمات: ایمپلنت، اصلاح لبخند، عصب کشی، جرم گیری، کامپوزیت و ترمیم دندان
- برنامه کاری: اعلام نشده
- آدرس: کرمانشاه، پارکینگ شهرداری، ساختمان اجلالیه، طبقه ۳، واحد 6
- لوکیشن مطب
- تلفن نوبت دهی: 09918925377
نمونه کار:

دکتر علی غلامی
چراح و متخصص دندانپزشکی – فلوشیپ ایمپلنت از فرانسه – فلوشیپ ترمیمی زیبایی لیزر از ایتالیا

- خدمات: ایمپلنت، لمینت، عصب کشی، ترمیم، ونیر، جراحی، عصب کشی، کامپوزیت، جرم گیری و کشیدن
- برنامه کاری: اعلام نشده
- آدرس مطب: كرمانشاه، بلوار مصطفی امامی، روبروی پارک معلم، پلاک ۲۰۹
- لوکیشن مطب
- تلفن نوبت دهی: 09361242425
- نمونه کار: ندارد
دکتر علی امیری
جراح و متخصص دندانزشکی

- خدمات: ایمپلنت، روکش، کامپوزیت، لمینت، ونیر، جرم گیری، عصب کشی، ترمیم و…
- برنامه کاری: اعلام نشده!
- آدرس مطب: کرمانشاه، فرهنگیان فاز ۲، ایستگاه ۵، کلنیک دندانپزشکی ونوس
- لوکیشن مطب
- تلفن نوبت دهی: 09304363000
نمونه کار:

دکتر علی حسینی

جراح و دندانپزشک
- ایمپلنت، روکش، کامپوزیت، جرم گیری، جراحی، عصب کشی، ترمیم، درمان ریشه و کشیدن
- برنامه کاری: اعلام نشده
- آدرس مطب: کرمانشاه، بین چهارراه نوبهار و میدان ۱۷ شهریور، ساختمان آریا، طبقه ۴ واحد 12
- لوکیشن مطب
- تلفن نوبت دهی: 08338361459
نمونه کار:

دکتر مژگان مستوفی
جراح و متخصص دندانپزشکی

- خدمات: ارتودنسی، ایمپلنت، لمینت، ونیر، کامپوزیت، عصب کشی، اصلاح لبخند، ترمیم دندان های شکسته، کشیدن دندان و…
- برنامه کاری:
- شنبه، یکشنبه، سهشنبه و چهارشنبه از ساعت ۱۵ الی ۱۹:۳۰ – دوشنبه و پنجشنبه از ساعت ۸:۳۰ الی ۱۳
- آدرس مطب: کرمانشاه، پارکینگ شهرداری، خیابان حاج محمدتقی اصفهانی، ساختمان کسری، مطب دکتر مستوفی
- لوکیشن مطب
- تلفن نوبت دهی: 09185672230
دکتر ایرج یزدانفر
جراح و متخصص دندانپزشکی

- خدمات: ایمپلنت، جراحی، زیبایی، عصب کشی، کامپوزیت، اصلاح لبخند، کشیدن دندان، درمان ریشه، ترمیم دندان و جرم گیری
- برنامه کاری: اعلام نشده
- آدرس مطب: کرمانشاه، پارکینگ شهرداری، سه راه موید، طبقه فوقانی داروخانه دکتر باقری
- لوکشین مطب
- تلفن نوبت دهی: 0837278935
ایمپلنت چیست و چگونه انجام میشود؟
شاید بد نباشد قبل از مراجعه به دندانپزشک، کمی اطلاعات تکمیلی در مورد ایمپلنت و نحوه انجام آن داشته باشید. ایمپلنت دندان در واقع یک روش جراحی است که در طی آن، پایه ای فلزی (معمولا از جنس تیتانیوم) داخل استخوان فک قرار داده می شود تا بتواند مانند ریشه یک دندان واقعی عمل کند. بر روی این پایه بعدا یک تاج یا دندان مصنوعی قرار می گیرد که که کاملا شبیه دندان طبیعی است.
روال انجام آن به این صورت است که در ابتدا، دندانپزشک وضعیت فک و لثه بیمار را بررسی می کند و در صورت نیاز، عکس های رادیوگرافی یا سی تی اسکن تجویز می کند. پس از آن، پایه ایمپلنت داخل استخوان فک کاشته می شود. این مرحله نیاز به دقت بالایی دارد تا ایمپلنت در جای درست قرار گیرد. سپس چند ماه زمان لازم است تا استخوان فک و پایه فلزی به خوبی با هم جوش بخورند.
بعد از این دوره، نوبت به مرحله نهایی یعنی قرار دادن تاج دندان یا همان پروتز روی ایمپلنت می رسد. این دندان مصنوعی توسط لابراتوار دندانسازی و بر اساس شرایط لثه، فرم دندان های اطراف و نیاز بیمار طراحی می شود. نتیجه نهایی طوری خواهد شد که هم از نظر زیبایی کاملا طبیعی به نظر برسد و هم از نظر عملکرد، مثل یک دندان واقعی عمل کند.
به همین دلیل، ایمپلنت یکی از بهترین روش ها برای جایگزینی دندان های از دست رفته است. روشی که هم دوام بالایی دارد و هم از نظر ظاهری، بیشترین شباهت را به دندان واقعی دارد.
انواع روش های کاشت ایمپلنت
ایمپلنت دندان تنها یک روش ساده و یک حالتی نیست. این عمل، با توجه به شرایط فک و لثه بیمار، تعداد دندان ها و حتی تکنولوژی موجود در کلینیک یا مطب انجام می شود. شناخت این روش ها به شما کمک می کند تا بتوانید در جلسه مشاوره با دندانپزشک، انتخابی بهتر داشته باشید. در ادامه، مهمترین انواع ایمپلنت که در شهر کرمانشاه نیز انجام می شوند را معرفی می کنیم.
۱. ایمپلنت معمولی (دو مرحله ای)
این روش، رایج ترین و پرکاربردترین نوع ایمپلنت در دنیا است. در مرحله اول، پایه فلزی از جنس تیتانیوم در استخوان فک کاشته می شود. سپس بیمار باید بین ۳ تا ۶ ماه صبر کند تا استخوان اطراف پایه را در بر بگیرد و فرآیند جوش خوردن یا اُسئواینتگریشن کامل شود. بعد از این مدت، تاج یا پروتز دندان روی پایه نصب می شود. ایمپلنت دو مرحلهای به دلیل استحکام بالا و درصد موفقیت زیاد، بهترین گزینه برای کسانی است که به دنبال نتیجهای مطمئن و دائمی هستند.
۲. ایمپلنت یک روزه
ایمپلنت یک روزه یا فوری، برای افرادی مناسب است که نمی خواهند چند ماه بدون دندان بمانند. افرادی که زیبایی لبخندشان به واسطه شغل و یا موقعیت اجتماعی که دارند، مهم است. در این روش، همزمان با کشیدن دندان آسیب دیده، پایه ایمپلنت در فک قرار داده شده و یک پروتز موقت هم روی آن نصب می شود. بیمار نیز در همان روز با دندان موقت مطب را ترک می کند.
البته برای این روش، باید شرایط استخوان فک و سلامت عمومی بیمار کاملا مناسب باشد. هرچند سرعت و راحتی بالایی دارد، اما همه بیماران کاندید مناسبی برای ایمپلنت یک روزه نیستند. بنابراین، قبل از انجام روش یک روزه، متخصص از بیمار آزمایشات لازم را می گیرد.
۳. ایمپلنت دیجیتال
امروزه تکنولوژی دیجیتال وارد دنیای دندانپزشکی شده و ایمپلنت هم از این قاعده مستثنا نیست. در ایمپلنت دیجیتال، دندانپزشک ابتدا با دستگاه های تصویربرداری سه بعدی از فک بیمار عکس می گیرد. سپس با کمک نرم افزارهای پیشرفته، محل دقیق کاشت پایه ها را روی کامپیوتر طراحی و شبیه سازی می کند.
مزیت اصلی این روش، دقت بالا و کاهش میزان برش و جراحی است. همچنین بیمار معمولا درد و خونریزی کمتری تجربه می کند و مدت زمان بهبودی هم سریع تر خواهد بود.
۴. ایمپلنت بریج یا چندتایی
وقتی چند دندان کنار هم از دست رفته باشند، نیازی به کاشت ایمپلنت برای تک تک آنها نیست. در روش ایمپلنت بریج، معمولا دو یا چند پایه را در دو طرف ناحیه بی دندان قرار می دهند و روی آنها پلی از چند دندان مصنوعی نصب می کنند.
این روش نه تنها هزینه کمتری نسبت به کاشت تکی دارد، بلکه برای بیمارانی که استخوان فکشان حجم کافی برای کاشت چند پایه ندارد، انتخابی مناسب است. ایمپلنت بریج هم ظاهر زیبایی دارد و هم قدرت جویدن بیمار را تا حد زیادی بر می گرداند.
۵. ایمپلنت فوری بارگذاری
این روش، کاملا شبیه به ایمپلنت یک روزه است، با این تفاوت که در بعضی موارد میتوان پروتز نهایی را خیلی زودتر از حالت عادی روی پایه قرار داد. در نتیجه، بیمار در مدت زمان بسیار کوتاهی صاحب دندان نهایی می شود.
البته اجرای این روش نیازمند شرایط خاصی است. به این صورت که استخوان فک بیمار باید تراکم بالایی داشته باشد و دندانپزشک هم تجربه کافی در این زمینه داشته باشد.
به طور کلی، بیمار با توجه به شرایط خود و نظر دندانپزشک متخصص، می تواند از یکی از این روش ها استفاده کند. آشنایی با کاربرد و یا مزایا و معایب هرکدام، باعث می شود انتخابی بهتر داشته باشید و بهترین نتیجه را از درمان ایمپلنت دریافت کنید.
هزینه کاشت دندان در کرمانشاه سال ۱۴۰۴
هزینه ایمپلنت دندان در کرمانشاه بسته به برند مورد استفاده، روش کاشت و نیاز به درمان های جانبی متغیر است. در این بخش بازه قیمتی روش های مختلف را بررسی می کنیم تا دید بهتری نسبت به هزینه ها داشته باشید.
هزینه بر اساس برند
برندهای اقتصادی ایرانی یا کره ای ساده: از حدود ۸ تا ۱۴ میلیون تومان برای هر واحد
برندهای میان رده مانند Osstem یا Dentis: از حدود ۱۳ تا ۲۲ میلیون تومان برای هر واحد
برندهای اروپایی و پریمیوم مانند Nobel و Straumann: از حدود ۲۳ تا ۵۰ میلیون تومان برای هر واحد
هزینه بر اساس روش کاشت
ایمپلنت معمولی: بین ۹ تا ۱۵ میلیون در برندهای اقتصادی، ۱۴ تا ۲۴ میلیون در میانردهها و ۲۵ تا ۵۰ میلیون در برندهای پریمیوم
ایمپلنت یک روزه: حدود ۱۰ تا ۱۶ میلیون در برندهای اقتصادی، ۱۵ تا ۲۶ میلیون برای میانردهها و ۲۷ تا ۵۵ میلیون برای برندهای پریمیوم
ایمپلنت دیجیتال: هزینه ایمپلنت دیجیتال مانند ایمپلنت معمولی است که البته ۱/۵ تا ۴/۵ میلیون تومان به هر واحد اضافه می شود.
ایمپلنت بریج: هزینهها در این روش بر اساس تعداد پایه ها محاسبه می شود. مثلا برای سه دندان از دست رفته که با دو پایه و یک بریج جایگزین می شوند، هزینه نهایی بین ۴۴ تا ۶۰ میلیون تومان متغیر است.
ایمپلنت فوری بارگذاری: در این روش نیز به دلیل استفاده از تجهیزات و تکنولوژی های بیشتر، معمولا ۲ تا ۶ میلیون تومان بیشتر از هزینه پایه ایمپلنت خواهد بود.
هزینه های جانبی
در بسیاری از موارد درمان های تکمیلی هم لازم می شود که هزینه جداگانه دارند. این هزینه ها شامل موارد زیر هستند.
پیوند استخوان: ۶ تا ۱۲ میلیون تومان
سینوس لیفت: ۸ تا ۱۸ میلیون تومان
روکش دندان: ۶ تا ۱۸ میلیون تومان
به طور کلی هزینه یک واحد ایمپلنت تک مرحله ای با برند میان رده و روکش زیرکونیا در کرمانشاه بین ۲۳ تا ۳۴ میلیون تومان خواهد بود. البته در روش های خاص مثل ایمپلنت یک روزه یا در صورت نیاز به پیوند استخوان، هزینه بیشتر می شود.
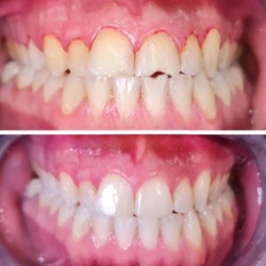
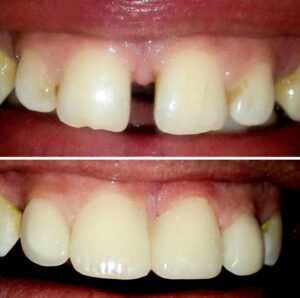
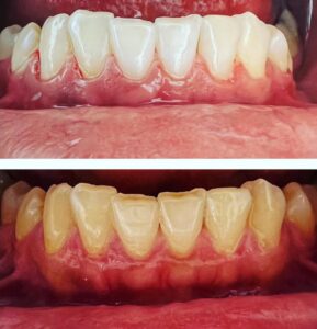
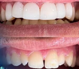
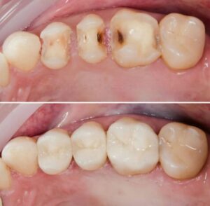
نمونه کارهای ایمپلنت دندان در کرمانشاه
ممکن است که انتخاب یک مورد از میان فهرست متخصصان ایمپلنت کار سختی باشد. برای همین، دیدن نمونه کار برخی از متخصص های ایمپلنت شاغل در شهر کرمانشاه به شما کمک می کند تا انتخاب راحت تری داشته باشید.


در واقع، این نمونه ها یک معیار برای بیماران هستند و شما قبل از مراجعه با دیدن آنها از کیفیت کار دندانپزشک مطمئن می شوید. از طرفی دیگر، این تصاویر تاثیر جایگزینی دندان از دسته رفته را با روش ایمپلنت به خوبی نشان می دهند.
تلفن نوبت دهی و مشاوره
قطعا برای انجام هر کاری از جمله کاشت دندان، نیاز به دریافت راهنمایی و مشاوره وجود دارد. برای دریافت نوبت مشاوره و معاینه ایمپلنت در شهر کرمانشاه می توانید با شماره 09359551512 تماس بگیرید. همچنین می توانید از طریق یکی از پیام رسان های داخلی یا خارجی سوالات خود را بپرسید. مشاوره در کرمانشاه دنت به صورت تلفنی و یا چت کاملا رایگان است و هیچ گونه هزینه ای نخواهد داشت.
سوالات متداول
۱. چطور نوبت ایمپلنت بگیرم؟
برای گرفتن نوبت میتوانید از طریق دکمه چت واتساپ و یا تماس مستقیم اقدام کنید. همچنین در صفحه اختصاصی هر دندانپزشک، شماره تماس و آدرس وجود دارد.
۲. قبل از ایمپلنت باید مشاوره داشته باشم؟
بله، مشاوره به شما کمک می کند تا بتوانید انتخاب بهتری برای روش کاشت و محل انجام ایمپلنت داشته باشید. همچنین با بررسی وضعیت دندان ها، لثه و استخوان فک، شرایط انجام آن را بررسی می کنید.
۳. چه مناطقی از کرمانشاه ایمپلنت انجام میدهند؟
تعداد زیادی از کلینیک ها و مراکز دندانپزشکی کرمانشاه مجهز به تجهیزات ایمپلنت هستند. از جنوب شهر کرمانشاه یعنی فردوسی و شریعتی تا نوبهار و شمال شهر شامل محله های مسکن و کارمندان این امکان وجود دارد.
۴. چه برندهایی از ایمپلنت در کرمانشاه موجود است؟
شما می توانید هر نوع برند از برندهای اقتصادی و کرهای تا برندهای میانرده و پریمیوم اروپایی مثل Nobel و Straumann را با نظر دندانپزشک انتخاب کنید.
۵. ایمپلنت یک روزه و معمولی چه تفاوتی دارند؟
در روش ایمپلنت یک روزه، همان روز دندان کشیده شده و پایه ایمپلنت قرار داده می شود و پروتز موقت نصب می گردد. اما ایمپلنت معمولی به صورت مرحله ای است و چند ماه زمان می برد تا پایه با استخوان فک جوش بخورد.
۷. آیا ایمپلنت درد دارد؟
در زمان جراحی از بی حسی موضعی استفاده می شود و بیشتر بیماران درد زیادی حس نمی کنند. بعد از عمل، ممکن است کمی تورم یا حساسیت وجود داشته باشد که با داروهای تجویزی قابل کنترل است.
۸. ایمپلنت چقدر ماندگاری دارد؟
اگر بهداشت دهان را رعایت کنید و به طور منظم نیز به دندانپزشک مراجعه کنید، ایمپلنت می تواند ۱۵ تا ۲۰ سال و حتی بیشتر عمر کند.
۹. آیا سن خاصی برای کاشت ایمپلنت وجود دارد؟
معمولا بزرگسالان بعد از تکمیل رشد فک که حدود ۱۸ سالگی است، میتوانند ایمپلنت انجام دهند. البته شرایط سلامت عمومی و تراکم استخوان هم در تصمیم گیری مهم است.
۱۰. آیا بیمه هزینه ایمپلنت را پوشش میدهد؟
خیر، بیمه های پایه معمولا ایمپلنت را پوشش نمی دهند، اما برخی بیمه های تکمیلی ممکن است بخشی از هزینه را جبران کنند. بهتر است قبل از درمان با بیمه خود هماهنگ کنید.
دیدگاه خود را درج کنید