“دکتر امین خالقی” موقعیت ها
درباره ی ما “دکتر امین خالقی”
- متخصص ارتودنسی
- عضو هیئت علمی دانشگاه
- دارای بورد تخصصی
- عضو بنیاد ملی نخبگان
برنامه کاری مطب: شنبه ها تا چهارشنبه ها از ساعت 16 تا الی 20
خدمات ارائه شده
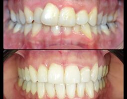
ارتودنسی
تخصص ها
بازخورد بیمار
هنوز هیچ بازخوردی از بیمار در دست نیست.
مقالات
هنوز هیچ مقاله ای ارسال نشده است.


“دکتر امین خالقی” پاسخ ها